Folije za ispravljanje zuba ili fiksne proteze – šta je bolje?

Picture of Dr Branka Matović
Dr Branka Matović

Folije za ispravljanje zuba ili fiksne proteze? Šta je bolje za mene? Kako izabrati? Savršen osmeh danas je na visokoj ceni. Zato dobijamo mnogo upita za ispravljanje i za izbeljivanje zuba. Ono što volimo da posebno naglasimo je da na prvom mestu mora biti zdravlje. Zato se uvek opredelite za bezbedan i profesionalan način da dođete do lepog osmeha!

Folije za ispravljanje zuba i njihove brojne prednosti

Folije za ispravljanje zuba su idealno rešenje za savremenog čoveka, koji:

Fiksne proteze – rešenje i za najkomplikovanije slučajeve

Fiksnim protezama mogu se rešiti sve rasprostranjeniji problemi krivih zuba i nepravilnog zagrižaja kod dece, omladine i odraslih, ma koliko složena situacija da je u pitanju. Budući da se radi o dugotrajnoj terapiji, naši pacijenti uvek imaju brojna pitanja, među kojima su najčešća: Koliko se nosi fiksna proteza?, Kako se stavlja fiksna proteza?, Kako fiksna proteza ispravlja zube i da li boli? Odgovori na ova i mnoga druga pitanja čekaju vas u nastavku teksta!

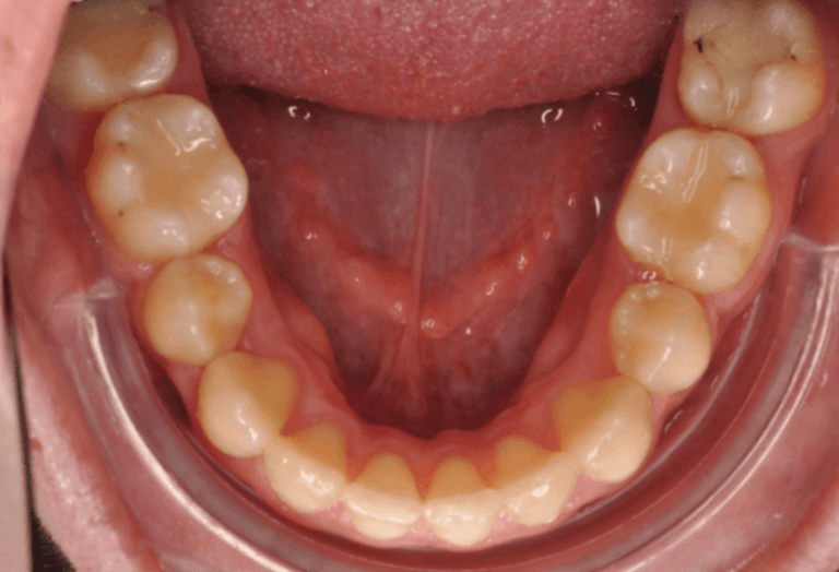
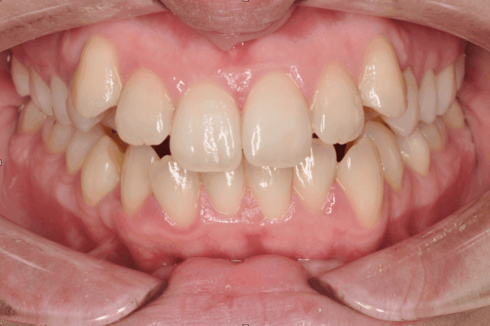
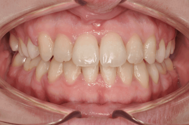
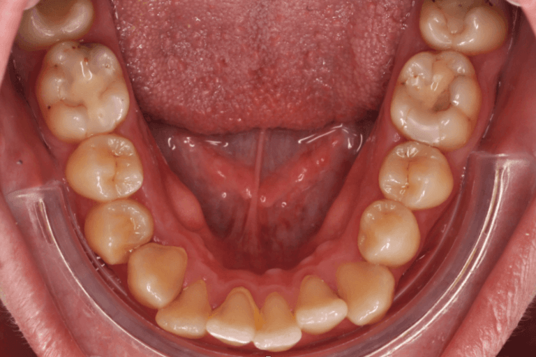
Kako slike obično govore više od reči, na sledećim slikama možete pogledati sjajne rezultate postignute nošenjem fiksnih proteza kod jednog našeg pacijenta:

Folije za ispravljanje zuba i fiksne proteze 1 na 1

Ispravljanje zuba fiksnom protezom je već uveliko poznata metoda. Sigurno i vi poznajete nekoga ko je na ovaj način došao do savršenog niza zuba. Ali onda sigurno znate i da je u pitanju – premda neosporno efikasna i za veliku većinu ljudi odgovarajuća metoda – ipak i nešto zahtevnija ortodontska terapija. Moderni tokovi ortodoncije došli su do udobnijeg i diskretnijeg načina da se isprave zubi – do folija za ispravljanje zuba.

Ispravljanje zuba folijama vs ispravljanje fiksnom protezom

Pregled najvažnijih prednosti i mana nošenja fiksnih proteza i folija za zube u svrhu njihovog ispravljanja će vam sigurno pojasniti situaciju:

Koliko dugo se nose u toku dana?

Koliko traje terapija?

Da li su efikasne kod komplikovanijih slučajeva?

Da li se mogu skidati za vreme trajanja terapije?

Koliko često se mora ići na kontrolu?

Da li su primetne?

Da li mogu izazvati bol i rane?

Da li se javlja neprijatnost usled pomeranja zuba?

Da li nadražuju desni?

Da li mogu da prouzrukuju prebojenost zuba?

Da li je održavanje zahtevno?

Da li mogu otežati žvakanje odredjene hrane?

Da li ometaju govor?

Da li postoje kategorije pacijenata koje ih ne mogu nositi?

Da li je obavezno nošenje retainer-a nakon terapije?

Da li ujedno štite od škrgutanja zubima (bruksizma)?

Da li iziskuju visok stepen samodiscipline kod pacijenta?

Folije za zube i fiksni ortodontski aparat: 6 stvari koje sigurno niste znali

Da li ste znali:

  1. …da veliki procenat ljudi ima problem sa nepravilnim zagrižajem?
    Procenjuje se da se radi o brojci od čak 70%!
  2. …da ne postoji gornja starosna granica za početak ortodontske terapije fiksnom protezom?
    Što se tiče donje granice, preporučljivo je da pacijent ima bar 13 godina.
  3. …da možete da birate boju gumica za fiksnu protezu?
    Ovo je često omiljeni deo ortodontske terapije kod pacijenata različitih uzrasta.
  4. …da se providne folije za ispravljanje zuba prave pomoću kompjuterskog skeniranja i 3D tehnologije?
    Naime, vaš otisak zuba se obrađuje u posebnom kompjuterskom programu, koji ima zadatak da kreira nekoliko digitalnih 3D modela.
  5. …da krajnje rezultate nošenja folija za zube možete videti već pre početka terapije?
    Zahvaljujući gore pomenutoj digitalnoj simulaciji možete videti kako će vaši zubi izgledati u svim fazama terapije, sve do željenog izgleda i rasporeda zuba.
  6. …da postoji više vrsta folija za zube?
    Sigurno ste kod nekih sportista uočili folije na zubima – ovde se radi o zaštitnim folijama za zube, koje nemaju veze sa ortodontskim folijama kao što su npr. Invisalign folije. Postoje i tzv. okluzalni splintovi koji liče na folije, a čija uloga je da štite zube od oštećenja koja nastaju usled škripanja zubima. Razlikujemo još i tzv. retejnere odn. retencione folije, čiji zadatak je da održe rezultate postignute nošenjem fiksne proteze ili folija za ispravljanje zuba.
Folija za zube se lako stavlja i skida

Folije za zube ili fiksne – šta je bolje za mene?

Savršeno raspoređeni zubi su neprocenjiva investicija ne samo u samopouzdanje i savršen osmeh koji otvara mnoga vrata, već i u zdravlje vaših zuba i desni. Naime, pravilan zagrižaj je preduslov za bolje i lakše održavanje higijene usta, a samim tim predstavlja svojevrsnu odbranu od nastanka karijesa i bolesti desni.

I zato ne odlažite odluku da ispravite zube!

Napravite prvi korak i zakažite pregled i konsultaciju. Tako možete biti sigurni da ste dobili stručan predlog za rešenje koje je najbolje za vaše individualne potrebe, bilo da su to folije za ispravljanje zuba ili nošenje fiksnih proteza.

Napišite Komentar

4 Odgovor


  1. Postovani,

    Dobro vece.

    Imam nekoliko manjih nepravilnosti zuba u gornjoj i donjoj vilici, pa razmisljam o nosenju folija za ispravljanje…
    U donjoj vilici mi je trojka nagnuta na mezijalnu stranu (sa vecim razmakom na drugoj), dok je u gornjoj vilici dvojka malo zarotirana, a trojka malo unazad postavljena u odnosu na ostale zube. Zagrizaj je dobar.
    Da li bi folije mogle da isprave polozaj tih zuba? Znam da se njima ne moze vrsiti pomeranje zuba ka dole ili gore…
    Takodje imam dijastemu izmedju jedinica, pa kako se korekcije i pomeranje zuba odredjuje kompjuterski, da li postoji mogucnost da se ta malformacija ostavi takvom kakva jeste, tj.da se jedinice ne sastave?
    Da li u toku terapije dolazi do spustanja desni (cest problem u slucaju nosenja fiksnog aparata)?
    Koja je cena? I da li imate ordinaciju u Novom Sadu sa kojom saradjujete?
    P.S. Izvinite zbog velikog broja pitanja.

    Srdacan pozdrav,
    Danijela

    1. Poštovana Danijela,
      Na žalost, bez kliničkog pregleda je nemoguće odgovoriti na vaša pitanja. Mi imamo puno pacijenata iz Novog Sada koji redovno dolaze kod nas da saniraju i održavaju zube, pa nemamo potrebu za takvom vrstom saradnje.

Vaša adresa e-pošte neće biti objavljena. Neophodna polja su označena *

Pročitaj još…

Povezani tekstovi

Da li trakice za izbeljivanje zuba mogu postići željene rezultate?
Trakice za izbeljivanje zuba predstavljaju jedan od preparata koji se nudi kao instant rešenje za izbeljivanje zuba u kućnim uslovima. Svakodnevno se na internetu, malim ekranima pa čak i u nedeljnicima mogu videti...
Zubar Beograd - ljubaznost i personalizovan pristup su važni pri odabiru zubara
Kada počinjete da tražite zubara u Beogradu, sigurno ćete prvo primetiti oglase na internetu, novinama ili u svom poštanskom sandučetu. Društvene mreže, pretraživači (Google) takođe reklamiraju ordinacije, ocenjuju ih ali i...
Izrada zaštitnih folija za zube po važoj meri i želji moguća je u ordinaciji Magic Dent!
Zaštitne folije za zube su u zavisnosti od potrebe – tanke i meke folije, koje mogu biti polugotove ili individualne. Polugotove se kupuju u sportskim radnjama, razmekšavaju se potapanjem...