MIH je skraćenica za molarno-incizalnu hipomineralizaciju. U pitanju je razvojni defekt zuba koji se ispoljava u vidu osetljivosti zuba, brzog razvoja karijesa, belih fleka na zubima, prebojenosti i sl. Poslednjih godina, od početka 21. veka, molarno incizivna hipomineralizacija je postala izuzetno česta pojava kod predškolske i školske dece.
MIH zuba odnosno molarno incizivna hipomineralizacija predstavlja smanjenu mineralizaciju gleđi stalnih zuba, kutnjaka i sekutića.
MIH je veoma složena promena, koja podrazumeva poremećaj procesa razvoja gleđi zuba (amelogeneze).
U pitanju je bolest u kojoj gleđ postaje porozna. To čini zube lomljivim i manje otpornim na bakterije koje prouzrokuju nastanak karijesa.
Molarno-incizivna hipomineralizacija se najčešće uoči između 6. i 8. godine života. Zašto baš u tom uzrastu? Zato što u tom periodu dolazi do nicanja prvih stalnih zuba, kutnjaka (molara) i sekutića (inciziva).
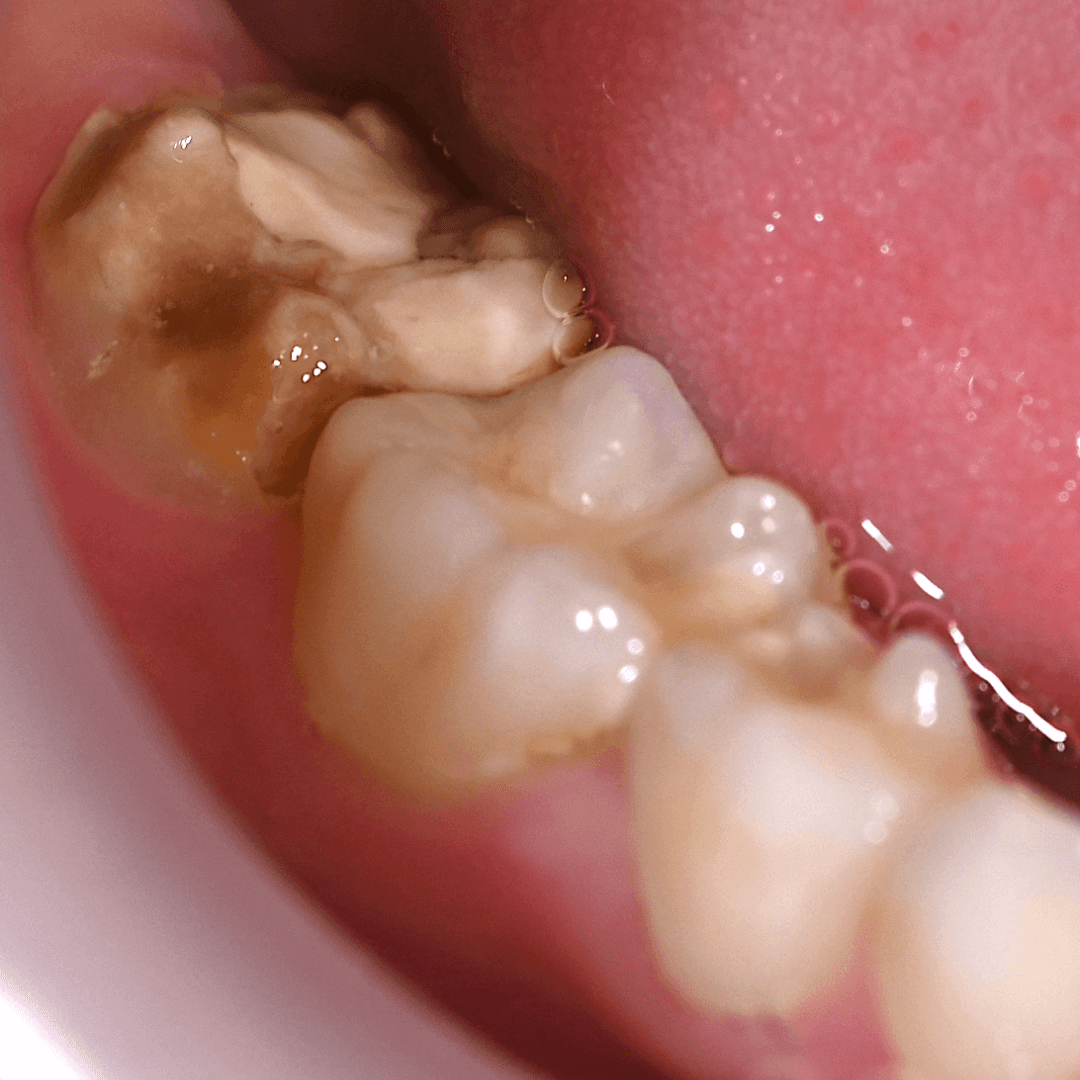
Promene u izgledu, i mineralizaciji zuba, po pravilu zahvataju jedan do sva četiri stalna prva kutnjaka, i često je udružena sa promenama na stalnim sekutićima, iako to ne mora da bude slučaj.
Na stalnim kutnjacima i sekutićima se primećuju sledeće promene:


Zubi na kojima se desila promena struktura gleđi, odnosno MIH, već u toku prve faze nicanja zuba pokazuju izmenjenu boju u odnosu na zdrave zube. Boja takvih zuba varira od beličaste zamućenosti do promena smeđe i žute boje koje su po pravilu praćene odlamanjem gleđi.
Već u toku prvih meseci pojave stalnih zuba u vilicama, usled nedostatka zubne gleđi, dentin ostaje nezaštićen, pa se karijes na tim zubima brzo razvija i zubi deteta se kvare. Sve ove promene dovode do povećane osetljivosti tih zuba, a vrlo često i do potrebe devitalizacije (vađenje živca).
Zanimljivo je naglasiti da se promene u vidu smanjenja minerala u zubima (hipomineralizacije) javljaju isključivo na zubima čija se mineralizacija, odnosno formiranje zametaka u vilicama, dešava u poslednjim nedeljama pre rođenja, odnosno neposredno nakon rođenja deteta. To su dakle prvi kutnjaci i sekutići, koji su prvi stalni zubi koji niču.
Zato se i razlozi pojave ovih promena traže u tom periodu razvoja deteta. Nažalost, pravi razlozi koji dovode do ovog poremećaja mineralizacije su još uvek nepoznati.
Potencijalni uzroci se mogu podeliti na one koji se dešavaju:


Bitno je da naglasimo da se deca sa MIH-om smatraju visoko rizičnom grupom u stomatologiji, pa je neophodno preduzeti i pojačane preventivne mere. Nažalost, kod dece koja imaju promene mineralizacije na zubima, uočene nakon nicanja zuba, roditelji ne mogu pomoći detetu u kućnim uslovima.
Naime, oslabljena gleđ je toliko porozna i slaba, da se i redovnim pranjem zuba vrlo često ne može sprečiti pojava karijesa.
Takođe, unošenje suplemenata u vidu kalcijuma i fluorida, nakon pojave zuba u ustima, ni na koji način neće ojačati gleđ zuba, jer je mineralizacija zuba odavno završena (podsećamo da se mineralizacija tih zuba završava pre ili neposredno nakon rođenja deteta).
Uzevši sve ove činjenice u obzir, veoma je važno da roditelji, prilikom pranja zuba detetu, na vreme primete promene na zubima i odvedu ga kod stomatologa, jer su rano otkrivanje i dijagnostika ključni u zbrinjavanju ovog problema.
Redovne posete i kontrole kod dečijeg stomatologa predstavljaju najbolju prevenciju!
Kod nas, u Magic Dent-u, savetujemo da se deca, već nakon nicanja mlečnih zuba, kada nemaju nikavih problema sa zubima, dovedu prvi put u ordinaciju. Na taj način, oni se navikavaju na stomatološko okruženje, tako da im dolasci predstavljaju prijatno a ne traumatično iskustvo.
Ukoliko dete odlazi na redovne preglede kod stomatologa, a s obzirom da se MIH javlja na stalnim zubima, koji niču između šeste i osme godine, pojava promena na stalnim zubima će sigurno biti primećena od strane stomatologa koji se brine o zubima vašeg deteta.
Molarno incizivna hipomineralizacija, ukoliko se ne tretira pravilno, je stanje koje se kod zuba koji su zahvaćeni promenama, ne može značajno popraviti.
Najbitnije je primenom preventivnih mera maksimalno smanjiti prisustvo kariogenih bakterija, redovno održavati higijenu usta i zuba, ali i redovno posećivati stomatologa.
Kod dece koja imaju ovakve promene na zubima savetuje se da se razmak između dve posete stomatologu smanji sa 6 meseci na 2 ili 3, bar u početnim godinama, kako bi se zubi što duže zadržali u ustima.
Pročitaj još…