VRATITE SAMOPOUZDANJE
Šta su zapravo
Zubni implanti su najsavremenije rešenje za trajnu nadoknadu jednog, više ili svih zuba.
Reč je o titanijumskim nosačima koji zamenjuju koren zuba. Na njih se postavlja protetska nadoknada (krunica) koja u potpunosti imitira prirodan zub – izgledom, funkcijom i osećajem.
Zakažite konsultaciju sa Magic Dent specijalistima koji imaju više od 20 godina iskustva u implantologiji!
22. oktobra 13, 11080 Beograd
Kontaktirajte nas


Uspešnost implantacije u našoj ordinaciji prelazi 95%!
Pacijenti prijavljuju:
komfor
žvakanje
samopouzdanje

Gordana G.
Starost:
Zemlja:
Usluga:
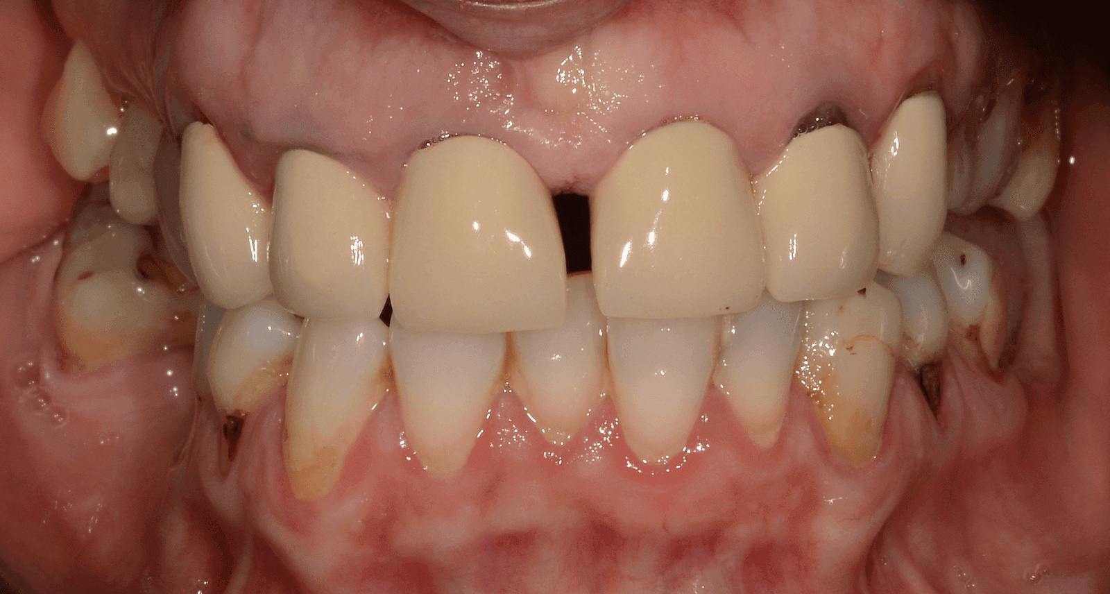
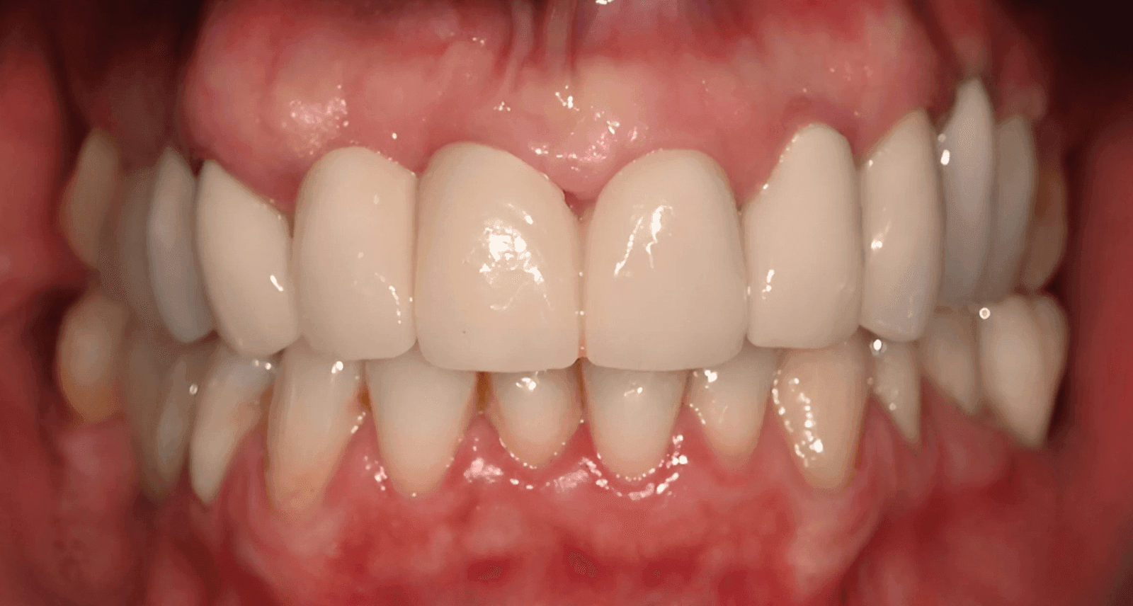
Put do novog osmeha – Rekonstrukcija sa implantatima
Pacijentkinja je želela da reši problem nedostajućih zuba i unapredi izgled svog osmeha. Zajedno smo prošli kroz proces koji je uključivao detaljnu analizu, ugradnju implantata i izradu krunica. Rezultat? Osmeh koji je oduševio i nju i nas! Evo kako je sve to izgledalo, korak po korak.
Prvo smo uradili snimak zuba da vidimo kakvo je stanje Gordaninih zuba i korenova. Nakon razgovora sa pacijentkinjom došli smo do zaključka da bi nedostajuće zube želela da nadoknadi implantatima. Zatim smo napravili 3D snimak kako bismo proverili da li ima dovoljno kosti za ugradnju implantata.
Nakon toga je usledio prvi klinički korak implantološko-protetske terapije – ugradnja implantata. U istom danu nakon ugradnje implantata izrađene su i privremene krunice.
Prilikom izrade privremenih krunica izvršili smo i nivelaciju nivoa mekih tkiva oko prednjih zuba. Na ovaj način smo dodatno unapredili krajnji estetski rezultat.
Čekali smo 4 meseca da implantati potpuno srastu sa kosti, odnosno da se desi tzv. oseointegracija implantata.
Nakon perioda oseointegracije smo pristupili izradi definitivnih krunica od cirkonijum-keramike. Izuzetno smo vodili računa i o krunicama na implantima, koje su urađene na cirkonijum abatmentima.






2 years ago
Prezadovoljan! Profesionalnost na najvisem nivou!

2 years ago
Sve pohvale za sjajan tim. Ja sam radila 4 implanta i imam sjajno iskustvo. Unapred sam bila upoznata sa svim troskovima i procedurom – od operacije, suprastrukture, krunice i konacnog rada. Posebne pohvale za hirurga Nebojsu Mirkovica – pedantan, ljubaznan, profesionalan. Moja porodica i ja smo Vasi pacijenti do.kraja zivota. Jos jednom hvala za sve!

2 years ago
Najbolji zubari u Beogradu, definitivno!
Profesionalizam na prvom mestu, ljubazne sestre. Zahvaljujuci njima, a posebno dr Gavrilovu imam najlepsi osmeh.
Hvala na tome.

12 days ago
Zahvaljujući Magic Dent timu, ponovo se smejem bez ustručavanja. Zahvalni smo na profesionalizmu i ljudskosti!




Zubni implanti
Ukoliko vam nedostaje jedan, nekoliko, ili pak svi zubi, velika je verovatnoća da ste idealan kandidat za zubne implantate.
Jedini potencijalni izazov može biti manjak vilične kosti – ali i to uspešno rešavamo procedurama kao što su augmentacija kosti i sinus lift.
Ako želite da nadoknadite jedan ili više izgubljenih zuba tako da vam te nadoknade traju dugo i omoguće vam komfor prilikom žvakanja, kao i savršen izgled i oblik zuba, zubni implanti su najbolji izbor za vas.
Napomena za pušače: Integracija implantata može biti manje uspešna, zato savetujemo redukciju ili prestanak pušenja pre terapije.
Vaše godine u trenutku ugradnje zubnih implantata nisu važne. Ono što jeste važno je to da ste dobrog opšteg zdravlja i da redovno i pravilno održavate oralnu higijenu pre i posle ugradnje implantata.
Nedostatak jednog ili više zuba nije samo estetski problem – on vremenom dovodi do ozbiljnih funkcionalnih i zdravstvenih posledica.
U poređenju sa drugim protetskim rešenjima, zubni implanti su najsigurniji, najdugoročniji i najprirodniji način da povratite osmeh.

i gubitka vilične kosti

lica

i varenjem

samopouzdanja

zuba

Proces ugradnje implantata u Magic Dent ordinaciji obuhvata tri ključne faze:

3D snimanje vilice i detaljan pregled. Sve u našoj ordinaciji.
Bezbolno postavljanje implantata u kost pod lokalnom anestezijom.
Nakon zarastanja, precizno uzimamo otisak pomoću intraoralnog skenera i izrađujemo krunice koje se savršeno uklapaju.

Sprečavaju dalje propadanje vilice i povlačenje desni.

Obezbeđuju prirodan izgled zuba.

Traju decenijama – pa čak i doživotno uz pravilnu oralnu higijenu.

Omogućavaju normalno žvakanje i govor.

Ne zahtevaju brušenje susednih zdravih zuba (za razliku od mostova).
U stomatološkoj ordinaciji Magic Dent rado ćemo odgovoriti na sva vaša pitanja i pomoći vam da odaberete rešenje koje vam najviše odgovara – bilo da je u pitanju pojedinačni implantat ili sistem poput All-on-X, All-on-4 ili All-on-6.

Šta čini razliku?
Koristimo Straumann implantni sistem, vodeći u svetu po preciznosti, uspešnosti i trajnosti.
Magic Dent je ponosni sertifikovani partner ovog brenda.


Dodatna pitanja su sasvim očekivana kada razmišljate o ugradnji zubnih implantata.
Ako želite da se detaljnije upoznate sa postupkom, osećajem nakon intervencije, trajanjem i cenom implantata, istražite sledeće teme:

Implanti u Beogradu
Uspešnost implantacije u našoj ordinaciji prelazi 95%!
Naš tim čine implantolozi sa višegodišnjim iskustvom i stotinama uspešnih ugradnji iza sebe. Konstantno se usavršavamo u zemlji i inostranstvu kako bismo primenili najnovije protokole i pružili vam sigurnost na svakom koraku terapije.
Radimo isključivo sa savremenom dijagnostikom, digitalnim skenerima i implantatima vrhunskih svetskih proizvođača, dok protetske nadoknade izrađujemo od najkvalitetnijih materijala.
Znamo da je odluka o ugradnji implantata važna – zato posvećujemo vreme svakom pacijentu, objašnjavamo sve faze i dostupne opcije, bez pritiska i skrivenih troškova. Naš cilj je da se kod nas osećate sigurno i komforno.
U moru ponuda, odaberite pouzdanu ordinaciju sa dokazanim rezultatima.
Naši implantolozi će vas saslušati, pregledati i napraviti jasan plan – bez stresa i bez obaveze.
Zakoračite ka novom osmehu već danas!
+381 11 260 1638
+381 65 260 1638
ordinacija@magicdent.co.rs
22. oktobra 13, 11080 Beograd
22. oktobra 13, 11080 Beograd